Sara Mageit
The company will use the funding to develop remote user interaction for structural heart interventions.
The acquisition will allow HealthHero to cover 22 million users.
Roundup: 'On-the-spot' COVID-19 test receives CE Mark, Thriva launches women's hormones test and mo…
Also, startup creates wearable tech to tackle head injuries in sport.
European digital health coaching company, Liva Healthcare and global biotechnology organisation, Amgen, have announced a partnership to make cardiac rehabilitation accessible to patients following a heart attack.
The manufacturer of the electronic artificial urinary sphincter aims to develop its device for treating urinary incontinence.
The company first collaborated with HSE on a pilot programme for psychological services in 2018.
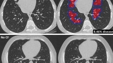
The new algorithm allows for automated analysis of CT scans of patients with the condition.
The company's platform simplifies communication between patients and hospitals.
The Danish fit-tech company offers live indoor cycling classes from any bike.
The initiative will support the NHS in its recovery as it navigates the COVID-19 pandemic.