prostate cancer
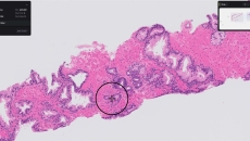
ArteraAI Prostate uses digital pathology images from a patient’s biopsy to predict potential long-term outcomes of their prostate cancer.
ArteraAI Prostate forecasts potential long-term outcomes of a patient's prostate cancer biopsy slide based on digital pathology images.
The UroNav system uses MRI and ultrasound images for more precise, minimally invasive care.
ArteraAI Prostate analyzes digital pathology images of a prostate cancer biopsy slide to help clinicians predict long-term outcomes.
The collaboration addresses delays in diagnosis and treatment by leveraging AI to help ensure patients with prostate and breast cancer are identified and treated more promptly.
The company will use the funds to circulate its ArteraAI Prostate Test and to develop tests to support individualized therapy options for other cancers.
AI will be integrated to increase pathologists' efficiency.
The company pitches iQuest as a way for physicians to provide more precise cancer treatment and lessen the likelihood of negative side effects.
The test reports on the G84E mutation in the HOXB13 gene, which studies have shown increase a person’s risk of developing prostate cancer.
Paige Prostate analyzes digitized biopsy slides and identifies areas that could be cancerous for the pathologist to review further.